
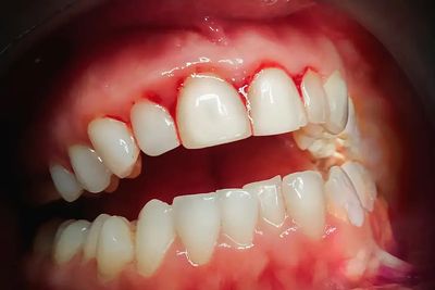
At Friends & Family Dentistry Dental Practice we work hard with our patients to help maintain healthy gum. This includes routine cleaning, deep cleaning, localized antibiotic treatment and oral hygiene instruction. Most importantly, we individualized the dental care to meet our patient needs.
We use cookies to analyze website traffic and optimize your website experience. By accepting our use of cookies, your data will be aggregated with all other user data.